THẾ NÀO LÀ CƯỜI HỞ LỢI?
Cười hở lợi, còn gọi là cười lộ nướu là một tình trạng hở lợi quá mức lúc cười, dẫn tới tình trạng mất thẩm mỹ. Một nụ cười được đánh giá là không hở lợi nếu khi cười tối đa không hở lợi hoặc mức độ lộ lợi không quá 2mm.
Dựa vào mức độ lộ lợi khi cười, cười hở lợi được chia thành 4 mức độ khác nhau:
+ Cười hở lợi nhẹ: Khi cười, mô nướu lộ nhiều hơn 3mm và ít hơn 25% chiều dài của răng.
+ Cười hở lợi trung bình: Khi cười, mô nướu lộ nhiều hơn 25% và ít hơn 50% chiều dài của răng.
+ Cười hở lợi nặng: Khi cười, mô nướu lộ nhiều hơn 50% và ít hơn 100% chiều dài của răng.
+ Cười hở lợi rất nặng: Khi cười, mô nướu lộ nhiều hơn 100% chiều dài của răng.
NGUYÊN NHÂN DẪN TỚI CƯỜI HỞ LỢI
Có 2 nhóm nguyên nhân chính dẫn tới nụ cười hở lợi:
Nhóm 1: Liên quan đến khuôn mặt hoặc liên quan đến:
- Xương hàm trên dài hơn bình thường
- Môi trên ngắn
- Môi trên quá di động (tức là bạn có thể di chuyển nó quá dễ dàng)
Nhóm 2: Liên quan đến răng & nướu
- Răng mọc quá mức kéo theo mô nướu.
- Răng của bạn bị mòn và do đó răng cửa trên di chuyển xuống dưới. Do đó, nướu sẽ di chuyển xuống cùng với răng. (Trong những trường hợp này, răng thường có hình dạng vuông vức hoặc ngắn)
- Nướu phát triển quá mức do vệ sinh răng miệng kém hoặc thở bằng miệng
CÁC PHƯƠNG PHÁP ĐIỀU TRỊ CƯỜI HỞ LỢI
Tại nha khoa iMed, cười hở lợi sẽ được phân tích dựa trên các trang thiết bị hiện đại nhất để tìm nguyên nhân cùng phương án điều trị tối ưu. Cười hở lợi có thể được điều trị bằng các phương pháp sau:
- Chỉnh nha bằng mắc cài hoặc bằng khay trong suốt Invisalign
- Phẫu thuật làm dài thân răng bằng laser và công nghệ 3D
- Phẫu thuật chỉnh hình xương
Trong đó, laser tạo hình lợi là phương pháp nhanh chóng và hiệu quả mang lại cho khách hàng một nụ cười mới.
QUY TRÌNH LASER TẠO HÌNH LỢI TẠI NHA KHOA iMED
Quy trình laser tạo hình lợi tại nha khoa iMed gồm các bước sau:
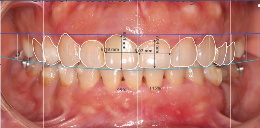
Bước 1: Thăm khám, lấy dữ liệu (phim, ảnh, mẫu hàm, scan 3D mặt) làm hồ sơ thẩm mỹ

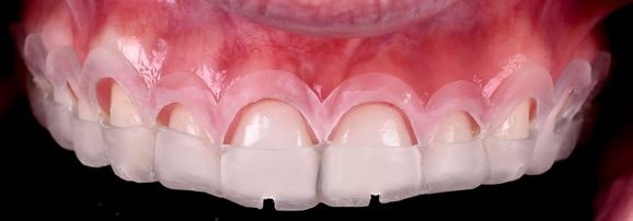
Bước 2: Bác sĩ phân tích các dữ liệu, sử dụng công nghệ 3D Treatment Simulation mô phỏng lại kết quả điều trị, áp dụng kỹ thuật số hóa để đưa ra kế hoạch điều trị tối ưu nhất.



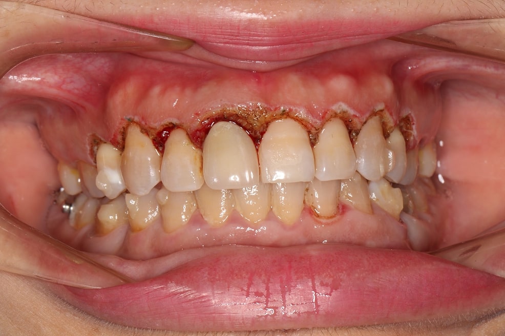
Bước 3: Tiến hành phẫu thuật, áp dụng công nghệ laser không đau, không chảy máu giúp quá trình phẫu thuật diễn ra nhanh chóng và nhẹ nhàng

Bước 4: Kiểm tra lành thương sau phẫu thuật. Chỉ sau một lần điều trị, bạn đã tự tin với một nụ cười mới.
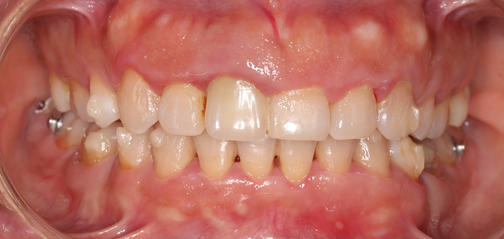
MỘT CASE LASER TẠO HÌNH LỢI TẠI NHA KHOA iMED


)
)
)