Nhổ răng khôn là một tiểu phẫu nhằm loại bỏ một hay nhiều răng khôn gây ra biến chứng ở người trưởng thành
RĂNG KHÔN LÀ GÌ?
Răng khôn (hay còn gọi là răng số 8) là chiếc răng mọc ở vị trí trong cùng của hai bên hàm răng trên và dưới. Răng khôn thường mọc ở những thời điểm khác nhau, tuy nhiên phổ biến ở độ tuổi trưởng thành (từ 18 – 25 tuổi). Thông thường, mỗi người sẽ có 04 chiếc răng khôn, nhưng cũng có những trường hợp có ít hơn, thậm chí là không có chiếc nào.
Những chiếc răng này tuy được gọi là răng khôn nhưng trên thực tế, đa phần chúng đều không “khôn” khi thường mọc lệch, gây ảnh hưởng đến những răng bên cạnh. Do ở vị trí trong cùng nên việc vệ sinh những chiếc răng này cũng rất khó, dẫn đến việc dễ dắt thức ăn, sâu răng, thậm chí là hỏng tủy. Chính vì vậy, trong nhiều trường hợp, răng khôn sẽ cần nhổ bỏ để tránh những hậu quả đến răng bên cạnh.
QUY TRÌNH NHỔ RĂNG KHÔN TẠI NHA KHOA iMED
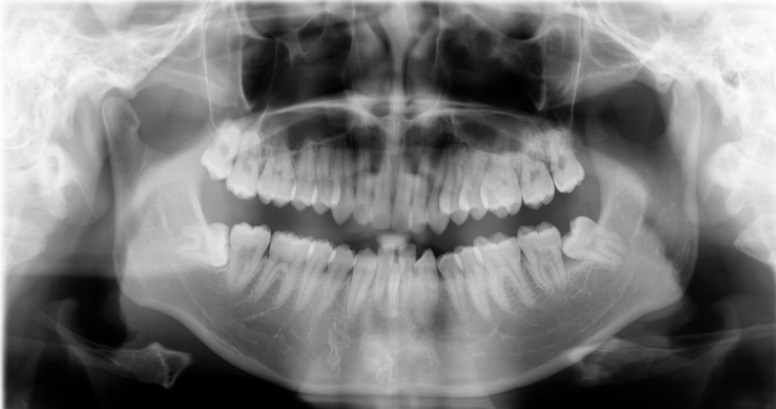
Bước 1: Khám lâm sàng và chụp Xquang
Bác sĩ sẽ khám lâm sàng chụp phim Xquang và kiểm tra tình trạng răng khôn của bạn có sâu vỡ không, có mọc lệch không, có gây ảnh hưởng đến răng bên cạnh không, từ đó sẽ tư vấn nhổ răng phù hợp.

Bước 2: Làm xét nghiệm máu
Để đảm bảo không có bất kỳ bất thường nào xảy ra trong quá trình đông máu hay giai đoạn lành thương sau phẫu thuật được diễn ra suôn sẻ, bạn sẽ được chỉ định làm một xét nghiệm máu bao gồm những chỉ số sinh hóa và huyết học cần thiết. Bạn có thể làm xét nghiệm máu tại bệnh viện hay một trung tâm xét nghiệm bất kỳ. Thông thường, thời gian chờ từ lúc lấy máu cho đến khi có kết quả sẽ mất khoảng vài giờ.

Bước 3: Tiểu phẫu nhổ răng khôn
Sau khi có kết quả xét nghiệm máu đảm bảo các vấn đề về sức khỏe và kiểm tra một lần nữa tình trạng răng miệng và sức khỏe toàn thân trong ngày tiểu phẫu, bác sĩ sẽ tiến hành loại bỏ răng khôn.
Các bước nhổ răng khôn:
- Gây tê: bác sĩ sẽ gây tê vùng răng cần nhổ để hạn chế đau nhức trong quá trình tiểu phẫu
- Nhổ răng: bác sĩ sẽ tiến hành rạch lợi để lấy phần thân và chân răng. Trong một số trường hợp, bác sĩ có thể phải cắt răng thành nhiều phần để lấy răng ra dễ dàng hơn đồng thời tránh gây ảnh hưởng nhiều đến các răng bên cạnh.
- Cầm máu: sau khi lấy răng ra khỏi ổ răng, bác sĩ sẽ khâu đóng vết thương và cho người bệnh cắn gạc để cầm máu.
Sau khi nhổ răng xong, bạn sẽ chờ khoảng 30′ để theo dõi cầm máu. Tiếp đó, bác sĩ sẽ kiểm tra và dặn dò, kê đơn thuốc trước khi bạn ra về.

Bước 4: Kiểm tra và cắt chỉ
Sau khoảng 7-10 ngày, bạn sẽ qua phòng khám kiểm tra và cắt chỉ. Một số trường hợp có thể không cần cắt chỉ do khâu bằng chỉ tự tiêu. Tuy nhiên, nếu có điều kiện, bạn nên cắt chỉ để đỡ vướng víu và khó chịu trong quá trình ăn uống.
Tham khảo bảng giá điều trị của Nha khoa iMed tại đây
)
)
)