Sau một thời gian mất răng, có rất nhiều biến đổi xung quanh vùng mất răng dẫn tới những rắc rối khi phục hồi lại răng mất. Mặc dù implant là phương pháp tối ưu nhất để phục hồi răng mất, tuy nhiên vẫn sẽ có một vài khác biệt giữa implant và răng thật mà các bạn cần lưu ý:
1. Cắn vào môi, má, lưỡi
Việc mất răng lâu ngày dẫn đến các mô mềm xung quanh răng tràn vào vùng mất răng. Lưỡi cũng có thói quen di chuyển vào vùng mất răng. Ngay sau khi lắp răng implant, các thói quen đó chưa thể bỏ ngay được. Do vậy, khi ăn nhai bằng răng mới chúng ta gặp tình trạng cắn vào môi, má, lưỡi, làm tổn thương các mô này. Tình trạng này sẽ chấm dứt sau khoảng 2-4 tuần.

2. Ê răng đối diện
Sự khác nhau về mặt sinh học giữa implant và răng tự nhiên là hệ thống dây chằng quanh răng (có tác dụng như một miếng đệm giảm lực) khi ăn nhai. Hệ thống dây chằng này giúp răng tự nhiên có thể được giảm sóc khi va chạm với răng đối diện. Khi bạn ăn nhai một răng sứ trên implant trong thời gian đầu, răng đối diện va chạm với một răng implant không có hệ thống dây chằng giống nó, sẽ làm cho răng đối diện cảm thấy “sốc”, dẫn tới tình trạng răng đối diện bị ê ẩm. Hiện tượng này sẽ biết mất sau khoảng 2-3 tuần khi răng đã quen với áp lực mới.

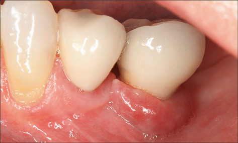
3. Giắt thức ăn
Cũng do sự khác nhau về mặt sinh học, nên phục hồi bằng implant ở những vị trí răng hàm sẽ tạo ra những tam giác đen lớn hơn là răng thật. Vì vậy, việc chăm sóc răng implant sẽ cần đến những công cụ đắc lực như chỉ tơ nha khoa, bàn chải kẽ hay tăm nước.

4. Vệ sinh răng miệng
Cần lưu ý răng implant có đặc tính sinh học gần tương tự như răng thật. Có nghĩa là việc vệ sinh răng implant cần được tiến hành như răng tự nhiên với các biện pháp chải răng, vệ sinh kẽ răng, thậm chí có thể bổ sung thêm tăm nước giúp giảm đọng thức ăn quanh răng implant.

