Lấy cao răng là một trong những biện pháp bảo vệ sức khỏe răng miệng đơn giản và hiệu quả nhất. Cao răng nếu tồn tại quá lâu sẽ gây nên những bệnh lý nguy hiểm khác như chảy máu lợi, hơi thở nặng mùi, lung lay răng…
1. Cao răng là gì? Nguyên nhân tạo nên cao răng?
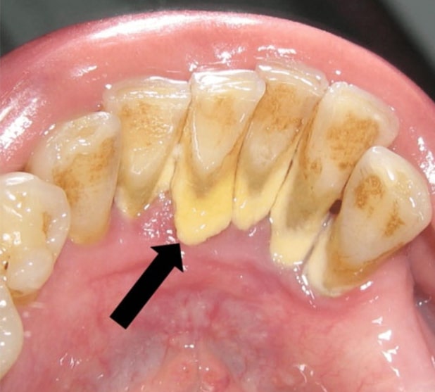
Cao răng là những mảng bám cứng, có màu trắng/vàng/nâu, bám quanh chân răng hoặc trên bề mặt răng. Xét về mặt khoa học, đó là sự tích tụ của các thành phần như canxi carbonat, chất khoáng, cặn thức ăn, vi khuẩn, xác tế bào chết… Cao răng thường thấy nhiều ở mặt trong răng hoặc kẽ răng, nơi mọi người ít chải kĩ.
Cao răng hình thành trong quá trình ăn uống hằng ngày. Cặn thức ăn được xúc tác bởi vi khuẩn, nước bọt cùng các khoáng chất tạo nên các mảng bám trên bề mặt răng. Mảng bám không được vệ sinh đúng cách sẽ kết hợp với các hợp chất muối tạo thành cao răng.

2. Tại sao phải lấy cao răng?
Nếu không lấy cao răng độc tố của các vi khuẩn trong cao răng sẽ gây ra phản ứng viêm tại chỗ. Từ đó gây nên các bệnh lý như viêm lợi, viêm quanh răng, thậm chí lung lay răng và mất răng. Việc vệ sinh răng miệng đúng cách và lấy cao răng định kì sẽ không chỉ giúp răng miệng sáng bóng, giữ gìn hơi thở thơm tho mà còn phòng tránh những bệnh lý nguy hiểm trên.

3. Lấy cao răng đúng cách
Thời gian kiểm tra định kì và lấy cao răng trung bình là 6 tháng/1 lần. Với những bệnh nhân nhiều cao răng hoặc có bệnh lý như viêm lợi nặng, viêm quanh răng tiến triển nên kiểm tra 3 tháng/ 1 lần.

4. Quy trình lấy cao răng ở nha khoa iMed
Bước 1: Bác sĩ tiến hành thăm khám và tư vấn điều trị.
Bước 2: Súc miệng sát khuẩn trước khi điều trị.
Bước 3: Tiến hành lấy cao răng bằng máy siêu âm với kĩ thuật hiện đại nhất, đảm bảo 100% quy trình là bác sĩ trực tiếp điều trị.
Bước 4: Đánh bóng răng, dặn dò bệnh nhân sau điều trị.
