Trám răng hay hàn răng là một kỹ thuật nha khoa sử dụng vật liệu nhân tạo để thay thế phần mô răng bị thiếu. Phương pháp này mang lại hiệu quả cả về tính thẩm mỹ lẫn cải thiện chức năng ăn nhai cho bệnh nhân. Việc hàn răng sâu là cần thiết để bảo vệ sức khỏe răng miệng cũng như tiết kiệm chi phí trước khi răng sâu vỡ lớn gây nên những biến chứng nặng nề hơn.
Là giải pháp tương đối đơn giản và hiệu quả, trám răng được chỉ định trong những trường hợp sau.
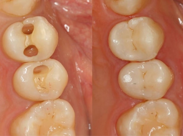
1. Trám răng bị sâu
Sâu răng hiểu đơn giản là tình trạng xuất hiện những lỗ hổng ở răng, gây nhét thức ăn và khó chịu, đau nhức khi ăn nhai. Trước khi trám răng, bác sĩ sẽ làm sạch toàn bộ mô răng bị sâu và thay thế bằng vật liệu có tính chất sinh học gần giống với mô răng nhất.

2. Trám răng bị mẻ
Khi cắn vào vật gì quá cứng hoặc không may bị chấn thương, răng có thể nứt/mẻ, ảnh hưởng trực tiếp đến thẩm mỹ cũng như ăn nhai. Bác sĩ sẽ dùng kĩ thuật tương tự, làm sạch răng sau đó phục hồi lại hình thể răng như ban đầu.

3. Trám răng thưa
Trám răng thưa hay trám răng thẩm mỹ là một trong những biện pháp ít xâm lấn nhất, giúp đóng kín những kẽ hở giữa các răng mà không phải lấy đi nhiều mô răng.

Vậy trám răng có đau hay gây hại gì cho răng không?
Hầu hết các thủ thuật trám răng đều không gây khó chịu gì cho bệnh nhân. Trong những trường hợp bị sâu răng nặng, bác sĩ có thể cần gây tê để bớt cảm giác ê buốt khi lấy đi mô răng sâu. Việc trám răng hoàn toàn không gây hại, nó giúp răng phục hồi lại hình dáng giải phẫu, đảm bảo chức năng ăn nhai cũng như thẩm mỹ cho người bệnh.
