Theo Tổ chức Sức khỏe Thế giới – WHO, viêm nha chu được xếp hạng thứ 11 trong những căn bệnh phổ biến nhất toàn cầu. Đáng chú ý, theo số liệu điều tra sức khỏe răng miệng quốc gia năm 2017, có hơn 90% người Việt Nam mắc bệnh về răng miệng và Việt Nam là 1 trong 20 quốc gia có tỷ lệ bệnh nha chu cao nhất vùng châu Á – Thái Bình Dương.
Thế nào là viêm nha chu?
Viêm nha chu là tình trạng tổ chức xung quanh răng bao gồm nướu răng, xương ổ răng, dây chằng (dây chằng nha chu) bị viêm nhiễm. Tình trạng này nếu không được điều trị sẽ dẫn đến các bệnh lý mạn tính như viêm lợi mạn, tụt lợi, lung lay răng thậm chí mất răng…
Những triệu chứng của viêm nha chu
- Nướu răng từ màu hồng chuyển sang màu đỏ sẫm, sưng hoặc căng phồng, dễ chảy máu
- Nướu răng mềm, không ôm sát lấy răng, xuất hiện khoảng trống lớn hơn 3mm giữa nướu và răng
- Tụt nướu lộ phần chân răng
- Chảy máu hoặc mủ ở chân răng
- Nướu răng đau nhức, ê buốt
- Hơi thở có mùi
- Răng lung lay

Viêm nha chu bắt nguồn từ đâu?
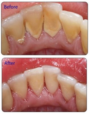
Nguyên nhân sâu xa gây nên bệnh viêm nha chu chính là do cao răng mảng bám. Vi khuẩn trong cao răng giải phóng các độc tố gây nên phản ứng viêm tại chỗ. Việc không làm sạch cao răng mảng bám sẽ tạo yếu tố thuận lợi cho vi khuẩn tích tụ ngày càng nhiều, gây viêm lợi từ nhẹ đến nặng và lâu dần gây tiêu xương, tụt lợi biến chứng thành viêm nha chu.
Như vậy cách phòng chống viêm nha chu hiệu quả nhất là kiểm tra răng miệng định kì để bác sĩ thăm khám và đưa ra phương án điều trị tốt nhất. Việc điều trị sớm sẽ tiết kiệm chi phí cũng như tránh các biến chứng nặng nề sau này cho người bệnh.
Các phương pháp điều trị viêm nha chu hiện nay
1. Lấy cao răng, bôi thuốc chống viêm lợi

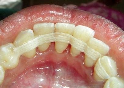
2. Ép máng nha chu, sử dụng thuốc viêm nha chu tại chỗ

3. Phẫu thuật nha chu sử dụng công nghệ laser

4. Điều trị tiêu xương ổ răng bằng phẫu thuật sử dụng chất tái tạo Emdogain

